HOLOGIC Selenia Dimensions Mamografi

MAMOGRAFİ SİSTEMLERİ

Hologic Selenia® Dimensions, 2D dijital mamografi ve 3D tomosentez teknolojileriyle meme kanseri tarama ve tanısında netlik, hız ve klinik doğruluk sunar. Erken teşhiste üstün görüntüleme desteğiyle güvenilir sonuçlar sağlar.

Ürün Açıklaması

Selenia® Dimensions ile Dijital Mamografide Yeni Bir Dönem

Selenia® Dimensions, dijital mamografi alanında Hologic’in mühendislik gücünü ve klinik deneyimini bir araya getirerek, meme kanserinin erken teşhisinde çıtayı yukarı taşıyor. Sistem, yüksek çözünürlüklü 2D görüntüleme ile 3D tomosentez teknolojisini entegre biçimde sunarak, hem tanısal doğruluğu artırıyor hem de hasta başına düşen işlem süresini ciddi oranda azaltıyor. Özellikle yoğun meme dokusuna sahip bireylerde, standart mamografi sistemlerinin karşılaştığı görüntüleme sınırlamalarını aşmak için geliştirilmiş bu yapı, her ayrıntının daha net ve tutarlı bir şekilde değerlendirilmesini sağlıyor.


70 mikron çözünürlük sunan Clarity HD dedektörü sayesinde, mikrokalsifikasyon gibi erken evre bulgular çok daha keskin şekilde yakalanabiliyor. Bu teknolojik temel, Intelligent 2D ile birleştiğinde ise, ek bir tarama yapılmasına gerek kalmadan tomosentez verilerinden yüksek kalitede sentetik 2D görüntüler üretilebiliyor. Böylece hastanın maruz kaldığı radyasyon dozu azalırken, radyologlar için karar alma süreci hızlanıyor. Sistem ayrıca Quantra yazılımı ile meme yoğunluğunu otomatik olarak analiz ederek, hasta risk profiline dair objektif bilgiler sunuyor.


Klinik performansının yanı sıra, cihazın 3.7 saniyeye kadar düşürülen tarama süresi ve entegre FAST kompresyon plakası ile sağladığı ergonomik deneyim, günlük iş akışını optimize ederken hasta memnuniyetini de artırıyor. Gerektiğinde kontrastlı görüntüleme olanağı sunan iView opsiyonu ile sistem, yalnızca tarama değil, aynı zamanda ileri düzey tanısal ihtiyaçlar için de güvenilir bir çözüm haline geliyor.


Selenia® Dimensions, sadece bir dijital mamografi sistemi değil; doğru tanı, düşük doz, hızlı iş akışı ve üstün görüntü kalitesi sunan kapsamlı bir platformdur.

Klinik Üstünlükler

Gelişmiş 3D Tomosentez Teknolojisi
2D ve 3D Görüntüleme Bütünleşik
Düşük Dozda Net Görüntüler
Yoğun Meme Dokusu Performansı

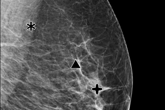
Hologic Selenia® Dimensions, FDA onaylı Genius™ 3D tomosentez teknolojisi ile meme dokusunu yüksek çözünürlükte katman katman tarar. Bu ileri teknoloji, geleneksel 2D mamografiye kıyasla meme kanserini %20 ile %65 arasında daha yüksek oranda tespit ederek erken teşhiste önemli bir avantaj sunar. Klinik çalışmalar, bu sistemin yalancı pozitif çağrı oranlarını %40’a kadar azaltarak gereksiz biyopsi sayısının düşürülmesini sağladığını ortaya koymaktadır. Özellikle yoğun ve karmaşık meme yapısına sahip hastalarda, lezyonların daha net görünmesini mümkün kılarak radyologların tanı güvenilirliğini artırır.

Hologic Selenia® Dimensions, tek bir tarama işleminde hem 2D dijital mamografi hem de gelişmiş 3D tomosentez teknolojisini bir arada sunar. Bu yenilikçi yaklaşım, radyologların meme dokusunun detaylarını daha eksiksiz değerlendirmesine olanak tanır ve teşhis doğruluğunu artırır. C-View™ sentezlenmiş 2D görüntü teknolojisi sayesinde, radyasyon dozu analog mamografi seviyelerine çekilirken, görüntü kalitesinden ödün verilmez. Bu özellik, özellikle yoğun meme dokusuna sahip hastalarda yüksek tanı güvenilirliği sağlar ve erken kanser tespitinde kritik rol oynar.

Hologic Selenia® Dimensions, C-View™ sentetik 2D görüntüleme teknolojisi sayesinde, 3D tomosentez verilerinden oluşturulan yüksek kaliteli 2D mamografi görüntüleri sağlar. Bu yöntem, geleneksel çiftli tarama yerine tek bir 3D tarama ile hem 3D hem de 2D görüntü elde edilmesini mümkün kılarak radyasyon dozunu önemli ölçüde azaltır. Klinik çalışmalarda, C-View™ teknolojisiyle radyasyon dozu %40-50 oranında düşürülürken, görüntü kalitesi ve tanı güvenilirliği korunmuştur. Böylece hastalar daha az radyasyon riskiyle erken ve doğru teşhis imkanına kavuşur.

Hologic Selenia® Dimensions, yoğun meme dokusuna sahip kadınlarda bile yüksek çözünürlükte ve detaylı görüntüler sunar. Bu teknoloji, meme dokusunun yoğunluğundan kaynaklanan tanı zorluklarını aşarak, gizli kalabilecek küçük lezyonların tespit edilmesini mümkün kılar. Klinik çalışmalar, bu sistemin yoğun meme dokusunda meme kanseri tespit oranını anlamlı ölçüde artırdığını ve erken teşhiste önemli rol oynadığını göstermektedir. Böylece risk altındaki hastalar için güvenilir ve etkili bir tarama çözümü sağlar.

Hasta Konforu

Hızlı ve Konforlu Tarama Deneyimi
Hasta Konforunu Ön Planda Tutan Donanım
Yuvarlatılmış Kompresyon Teknolojisi: SmartCurve™

Selenia® Dimensions, dünyada FDA onaylı 3D mamografi sistemleri arasında en hızlı tarama süresine sahip sistemdir: sadece 3.7 saniyede 15 kesitsel görüntü elde ederek bir memenin tomosentez taramasını tamamlar. Bu üstün hız, geleneksel 2D mamografiye göre %80 daha kısa süre ile yüksek çözünürlüklü 3D görüntüler sunar.


Bu kadar kısa sürede tamamlanan tarama işlemi, yalnızca klinik iş akışını hızlandırmakla kalmaz; aynı zamanda hastanın tarama sırasında yaşadığı konforu da önemli ölçüde artırır. Hasta hareketine bağlı artefakt oluşumu önemli ölçüde azalır, bu da yeniden tarama gerekliliğini ve hatalı pozlama riskini düşürür. Ayrıca hızlı tarama süresi, memenin sıkıştırma süresini de azaltarak, kompresyon kaynaklı ağrı ve rahatsızlık hissini %40’a varan oranda azaltır.


Araştırmalar, 6–10 saniyelik geleneksel tomosentez sistemlerine kıyasla 3.7 saniyelik taramanın hasta memnuniyetini belirgin düzeyde artırdığını ve görüntü kalitesinde anlamlı fark yaratmadığını göstermektedir.

Hologic dijital mamografi sistemleri, fiziksel donanım ergonomisi sayesinde yalnızca hasta için değil, uygulayıcı sağlık profesyonelleri için de konforlu bir tarama süreci sunar. Gantrinin açılı ve kompakt yapısı, hem teknisyenin hastayı daha kolay konumlandırmasına olanak tanır hem de hastanın psikolojik olarak kendini daha güvende hissetmesini sağlar. Tekniker, sistemle birebir temas halinde çalıştığı için, sezgisel kontrol paneli ve ayarlanabilir yükseklik gibi özellikler sayesinde işlemi daha verimli ve daha az fiziksel eforla gerçekleştirebilir. Bu durum, yüksek hasta sirkülasyonu olan kliniklerde tükenmişliği azaltma ve iş akışını optimize etme açısından klinik verimliliğe doğrudan katkı sağlar.


Hologic FAST kompresyon plakası, hastanın anatomisine kendini esnek biçimde uyarlayan eğimli yapısıyla hem daha etkili bir doku yayılımı sağlar hem de sıkıştırma süresini ve basıncını optimize eder. Bu sayede, hastada oluşan baskı hissi azalırken hareket artefaktları da minimize edilir. Ayrıca daha kısa tarama süresi ve daha stabil pozisyonlama, görüntü kalitesini artıran ek faydalar sağlar.


Bazı Hologic sistemlerinde opsiyonel olarak sunulan SmartCurve™ kompresyon pedleri de konforu artıran bir diğer teknolojidir. Bu konuya bir sonraki başlıkta daha detaylı değineceğiz.


Hasta konforunun tarama katılımı üzerindeki etkisi birçok çalışmada gösterilmiştir. Örneğin, Keemers-Gels et al., 2000, mamografi sırasında ağrı yaşayan kadınların %46’sının sonraki taramalara katılma isteğinde azalma yaşadığını ortaya koymuştur. Hologic sistemlerinin konfor odaklı donanımı, yalnızca tek seferlik hasta deneyimini değil, düzenli mamografi takibini de olumlu etkileyerek erken tanıya katkı sunar.

SmartCurve™, Hologic’in meme görüntülemesinde hasta konforunu artırmak üzere geliştirdiği yenilikçi kompresyon pedidir. Geleneksel düz pedlerin aksine, SmartCurve™’ün anatomik olarak şekillendirilmiş yuvarlatılmış kenarları meme yapısına daha iyi uyum sağlar. Bu sayede, hem doku daha homojen şekilde yayılır hem de kompresyon sırasında oluşan noktasal basınç azalır.


Yapılan çok merkezli bir klinik çalışmada, SmartCurve™ kullanılan hastaların %93’ü, bir önceki geleneksel mamografi deneyimlerine göre daha az ağrı hissettiklerini belirtmiştir (Hologic Clinical Study, 2017). Ayrıca %95’imamografi sırasında yaşadıkları genel konforun arttığını ifade etmiştir.


Hologic’in bir başka çalışması (Clinician Feedback Survey, 2018) SmartCurve™ kullanımının yalnızca hasta açısından değil, teknisyenlerin %91’i tarafından da pozisyonlama sürecini kolaylaştırdığı yönünde geri bildirimlerle desteklenmiştir.


SmartCurve™ pedleri, Hologic 3D Mammography™ sistemleriyle entegre çalışarak, teknisyenin pozisyonlama işlemini de kolaylaştırır. Pedin yuvarlatılmış yapısı hem memenin doğal formuna uyum sağlar hem de sıkıştırma sırasında meydana gelebilecek hareket artefaktlarını azaltır. Bu da yeniden çekim ihtimalini azaltarak hem hasta memnuniyetini hem de klinik verimliliği artırır.


SmartCurve™, özellikle sık meme dokusuna sahip hastalarda pozlama süresinin ve sıkıştırma sürecinin daha iyi yönetilmesine katkı sunar. Ayrıca opsiyonel bir özellik olarak sunulsa da, birçok klinik bu pedi standartlaştırmayı tercih etmektedir — çünkü hasta konforu, uzun vadede hastanın mamografi düzenine sadık kalmasının temelini oluşturur.

Gelişmiş Yazılım

CAD
Quantra
Clarity HD
iView
Intelligent 2D

Bilgisayar Destekli Tanı (CAD) ile Artırılmış Tanı Güveni

Hologic’in gelişmiş CAD teknolojisi, mamografi taramalarında potansiyel anomalileri otomatik olarak belirleyerek radyologların tanı doğruluğunu artırır. Görüntüler üzerinde dikkat çekici bölgeleri vurgulayan CAD, erken evre meme kanseri belirtilerinin atlanma riskini azaltır. Bu sayede radyologlar için ikinci bir okuyucu işlevi görerek hem tarama süresini kısaltır hem de tanısal kesinliği destekler. Özellikle yoğun meme dokusuna sahip hastalarda, CAD sistemi lezyon tespiti için ek bir güvenlik katmanı sunar.


Klinik destek:

Yapılan bir çalışmada, CAD sisteminin tomosentezle birlikte kullanıldığında radyologların küçük invaziv karsinomları saptama oranını %27 oranında artırdığı gösterilmiştir (Freer TW, Ulissey MJ, Radiology, 2001).


Başka bir geniş çaplı çalışmada ise Hologic 3D mamografi ve CAD sistemlerinin birlikte kullanımı, yalancı negatif oranını %40’a kadar azalttığı ve radyologlar arasında okuma süresini ortalama %20 oranında kısalttığı belirtilmiştir (Philpotts et al., AJR, 2015).

Quantra Meme Yoğunluk Analizi ile Kişiselleştirilmiş Tarama Yaklaşımı

Modern meme görüntülemede yalnızca iyi görüntü kalitesi yeterli değildir; verilerin doğru, tutarlı ve klinik olarak anlamlı bir şekilde analiz edilmesi de büyük önem taşır. Hologic’in Quantra™ yazılımı, meme yoğunluğunu objektif olarak ölçen ve sınıflandıran gelişmiş bir analiz aracıdır. Quantra, kadınların meme yapısına özel risk sınıflaması ve tarama stratejileri belirlemeye olanak tanır.


Quantra, Amerikan Radyoloji Derneği’nin BI-RADS® yoğunluk kategorilerini temel alır ve dört seviyeli sınıflandırma sunar. Bu sayede manuel değerlendirmelerde görülebilecek subjektif farklılıkları azaltır, tekniker ve radyologlar arasında daha güvenilir bir değerlendirme standardı oluşturur.


Tam entegre yapısıyla Quantra, tarama sürecine zaman kaybettirmeden katkı sağlar. Yoğun meme dokusuna sahip bireylerde ek görüntüleme kararı verirken hızlı ve tutarlı veri sunar; böylece erken tanıda klinik etkinliği destekler.


Klinik Destek

Desteklenen Klinik Yayın:

Destounis SV et al. “The value of automated breast density assessment in clinical practice: improving reproducibility and risk stratification.” Radiologic Clinics of North America, 2021.

→ Quantra’nın inter-observer varyasyonu %90’a kadar azalttığı ve manuel değerlendirmeye göre çok daha tutarlı sonuçlar sunduğu gösterilmiştir.


FDA Onayı ve Kullanım:

Quantra, meme yoğunluğunun sayısal analizini yapmak üzere FDA tarafından onaylanmıştır ve Avrupa’da CE belgelidir. Çok merkezli çalışmalarda, meme yoğunluğunun belirlenmesinde %95’in üzerinde tutarlılık sağlamıştır.

Clarity HD Yüksek Çözünürlüklü Görüntüleme ile Tanıda Netlik

Clarity HD™ teknolojisi, Hologic’in dijital mamografi sistemlerinde yer alan yüksek çözünürlüklü 3D görüntüleme teknolojisidir. Bu sistem, meme dokusunu 70 mikron çözünürlükle katman katman tarayarak olağanüstü netlikte tomosentez görüntüleri sunar. Sonuç: daha doğru tanılar, daha az tekrar çekim ve daha güvenli tarama kararları.


Özellikle yoğun meme dokusuna sahip hastalarda, Clarity HD, dokuların üst üste binmesini önleyerek küçük kitleler, gizli kalsifikasyonlar ve diğer anormalliklerin (örneğin spiküler lezyonlar veya distorsiyonlar) daha görünür hale gelmesini sağlar. Bu da erken evre meme kanserinin tespiti açısından kritik öneme sahiptir. Geleneksel 2D sistemlerle karşılaştırıldığında, Clarity HD ile elde edilen görüntü netliği %50’ye kadar artarken, belirsiz tanılar nedeniyle istenen ileri görüntüleme oranları %40’a kadar azalmaktadır.


Radyologlar için sağladığı avantaj yalnızca görüntü kalitesiyle sınırlı değildir. Clarity HD’nin yüksek hızda veri işleme yeteneği, görüntüleme süresini kısaltarak iş akışını optimize eder.


Klinik Destek / Clinical Support

  • Bernardi D. et al., “Performance of screening with digital breast tomosynthesis vs. standard digital mammography: a study of Clarity HD high-resolution imaging.” European Radiology, 2020.

→ Clarity HD teknolojisi ile lezyon tespiti %29 oranında artarken, tekrar çağırma oranı %37 azalmıştır.


  • Friedewald SM et al., “Breast cancer screening using tomosynthesis in combination with digital mammography.” JAMA, 2014.

→ Clarity HD ile donatılmış sistemlerde yalancı pozitif oranında anlamlı düşüş ve spesifitede artış gözlemlenmiştir.

iView - Kontrast Destekli Mamografi ile Daha Fazla Gör

iView Contrast Enhanced , Hologic’in 3D mamografi platformlarına entegre edilebilen, kontrast madde destekli bir görüntüleme yazılımıdır. Bu teknoloji, damarlanma artışı gösteren lezyonları klasik görüntüleme tekniklerine göre çok daha belirgin hale getirerek malignite şüphesi taşıyan dokuların daha net değerlendirilmesini sağlar. Dinamik kontrast yapısıyla, anjiyografi benzeri bir görüntüleme elde edilir; bu sayede hem morfolojik hem de fonksiyonel bilgi birlikte sunulur.


Özellikle yoğun meme yapısına sahip ya da klasik mamografi ve ultrason ile net sonuç alınamayan olgularda, iView CE, manyetik rezonans (MR) alternatifi olarak tercih edilebilir. Hologic’in özel yazılım algoritmaları sayesinde düşük dozda kontrast ile yüksek duyarlılıkta tarama yapılabilir.


Bu çözüm, tarama sonrasında aynı sistem üzerinde ek görüntüleme ihtiyacını karşılayabilir, böylece hasta için zaman kazancı sağlanır ve MR çekimine gerek kalmadan ileri düzey tanısal veri sunulabilir.


Klinik Destek / Clinical Support

  • Patel BK et al., “Contrast-enhanced mammography: A review and update.” Clin Imaging. 2021.

→ Kontrastlı mamografinin duyarlılığı %90’ın üzerine çıkarken, MR’a göre benzer doğruluk oranları sunduğu gösterilmiştir.


  • Luczyńska E et al., “Contrast-enhanced spectral mammography: comparison diagnostic value with conventional mammography and MRI in dense breasts.” Med Sci Monit, 2015.

→ Yoğun meme dokulu hastalarda CESM, klasik mamografiye göre %37 daha fazla malignite saptama oranı göstermiştir.

Intelligent 2D ile Daha Az Doz, Daha Hızlı ve Net Tanı

Intelligent 2D™, Hologic’in 3D tomosentez verilerini kullanarak yüksek kaliteli sentetik 2D görüntüler oluşturan gelişmiş bir görüntüleme teknolojisidir. Bu teknoloji sayesinde, ayrı bir 2D çekim yapmaya gerek kalmadan tanısal değeri yüksek 2D görüntüler elde edilir. Böylece hem radyasyon dozu azaltılır hem de hastaya ikinci bir çekim uygulanmasına gerek kalmaz.


Gelişmiş algoritmalar, her taramada ayrıntılı veri analizi yaparak klasik 2D görüntülere eşdeğer ya da daha üstün nitelikte sonuçlar sunar. Ayrıca, bu teknoloji sayesinde veri boyutları küçülür, görüntüler daha hızlı işlenir ve radyologların değerlendirme süresi kısalır.


Intelligent 2D, yalnızca hasta güvenliğini değil, aynı zamanda radyoloji ekiplerinin iş akışını optimize etme hedefine de katkı sunar.


Klinik Destek / Clinical Support

  • Skaane P et al., “Comparison of Digital Mammography Alone and Digital Mammography Plus Tomosynthesis in a Population-based Screening Program.” Radiology, 2013.

→ Sentetik 2D görüntülerin tanısal doğruluğu klasik 2D ile benzer düzeyde bulunmuş ve yalancı pozitif oranlarını azalttığı gösterilmiştir.


  • Conant EF et al., “Synthesized 2D Mammography: Clinical Evidence Supporting Its Use in Breast Cancer Screening.” Clin Imaging, 2020.

→ Tomosentez ile birlikte kullanılan Intelligent 2D, %30 daha fazla kanser tespitine olanak tanırken, tekrar çağırma oranlarını da düşürmüştür.

Klinik Güvenilirlik & Hologic Etkinliği

Hologic’in ileri teknolojilere dayanan sistemleri, klinik çalışmalarda güvenilirlik ve etkinlik açısından güçlü kanıtlar sunmaktadır. Büyük ölçekli bir retrospektif çalışmada (2013‑2023 arasında 184.006 tarama incelenmiştir), yüksek çözünürlüklü (High-Resolution, HR) tomosentez, standart çözünürlüklü taramaya kıyasla 1.000 kadın başına kanser tespit oranını 4.87’den 5.38’e çıkarmıştır. Bu artış, erken teşhis potansiyelini ciddi şekilde artırmaktadır.


Öte yandan, Hologic Clarity HD ile birlikte kullanılan Intelligent 2D ve diğer teknolojilerin klinik pratikte yalancı pozitif çağrı oranlarını düşürdüğü, görüntü netliğini artırdığı ve okuma sürelerini kısalttığı yönünde radyologlar tarafından olumlu geri bildirimler alınmıştır. Bu veriler, Hologic çözümlerinin tanı doğruluğu ile verimliliği dengeleyen ve güven veren bir altyapı sağladığını göstermektedir.

Teklif İste
Ürün fiyat teklifi almak için talepte bulunun.
Branş Segment Grup Ürün İsim Soyisim *
E-posta *
Mesaj (Opsiyonel)
Teknik Servis Talebi
Teknik destek veya servis hizmeti talep edin.
Branş Segment Grup Ürün Servis Tipi İsim Soyisim *
E-posta *
Mesaj (Opsiyonel)
Eğitim Talebi
Ürün eğitimi veya kullanım eğitimi talep edin.
Branş Segment Grup Ürün İsim Soyisim *
E-posta *
Mesaj (Opsiyonel)
Teknikel Asistan
Teknikel
Asistan
7/24 Servis Hattı
Çağrı Destek Merkezi
Sizi Arayalım
[email protected]
© 2026 Her hakkı Teknikel’e aittir.